Information in this article applies to:
Article ID: NFL1046 — Created: 5 May 2017 — Reviewed: 13 Dec 2020
What does the gamma filter do?
The gamma filter optimizes the pixels in an image by taking advantage of the non-linear way humans perceive light and color.

Gamma Filter — Before

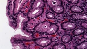
Gamma Filter — After
When gamma is applied to an image, the range of pixel values is translated using a curve that allocates more pixel values to the range to which human vision is more sensitive and fewer pixel values to highlights that human vision cannot easily differentiate.
Under typical illumination conditions (neither pitch black nor overly bright), human vision follows a power function with more sensitivity to the relative differences between dark tones than between light tones.
Images that are not gamma corrected allocate too much bandwidth to highlights and too little bandwidth to shadows. The gamma filter may be used to allocate more bandwidth to the shadows and therefore increase visual quality.
Note
Gamma can also be affected by the Look-Up Table Filter.