Information in this article applies to:
Article ID: NFL1042 — Created: 5 May 2017 — Reviewed: 13 Dec 2020
What does the conservative smoothing filter do?
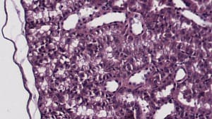
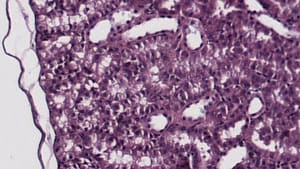
The conservative smoothing filter is a noise reduction technique that employs a simple, fast filtering algorithm that sacrifices noise suppression to preserve high spatial frequency detail (sharp edges). It is explicitly designed to remove noise spikes (salt and pepper noise).

Conservative Smoothing Filter — Before

Conservative Smoothing Filter — After
Note
This filter is available only for Deep Zoom filter sequences.