Information in this article applies to:
Article ID: NFL1038 — Created: 5 May 2017 — Reviewed: 13 Dec 2020
What does the bilateral smoothing filter do?
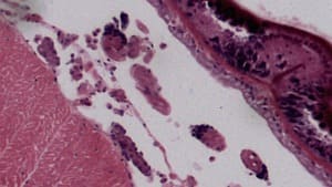
The Bilateral Smoothing filter performs selective Gaussian smoothing on areas of the same color. This filter smooths only those areas that are similarly colored and bypasses contrast transitions (edges). This has the effect of removing noise and contrast artifacts while preserving sharp edges.

Bilateral Smoothing Filter — Before

Bilateral Smoothing Filter — After
This filter evaluates an image pixel-by-pixel and calculates the new color for a specific pixel based on the colors of the surrounding pixels. It may help solve the following image problems:
Note
This filter is available only for Deep Zoom filter sequences.